先进精准放疗系统
0.5mm等中心精度
超大544°机架旋转范围
120叶动态高分辨MLC
1400MU/min FFF剂量率
一体化数据库
数字化控制系统
GPU加速蒙特卡罗剂量算法
全面支持uARC®优弧®
动静态IMRT
非共面等高端放疗技术
精准放疗触手可及
uRT-linac 306以同源双束的高清图像引导、全智能的放疗技术平台,覆盖智能勾画、计划、治疗与质控等全闭环流程,提升放疗同质化水平,让高端医疗惠及更多生命。
成就类kV级CBCT成像
深度调能成像技术
实现高效精准工作流
全智能平台
提升区域精准放疗同质化水平
智慧放疗云
0.5mm等中心精度
超大544°机架旋转范围
120叶动态高分辨MLC
1400MU/min FFF剂量率
一体化数据库
数字化控制系统
GPU加速蒙特卡罗剂量算法
全面支持uARC®优弧®
动静态IMRT
非共面等高端放疗技术
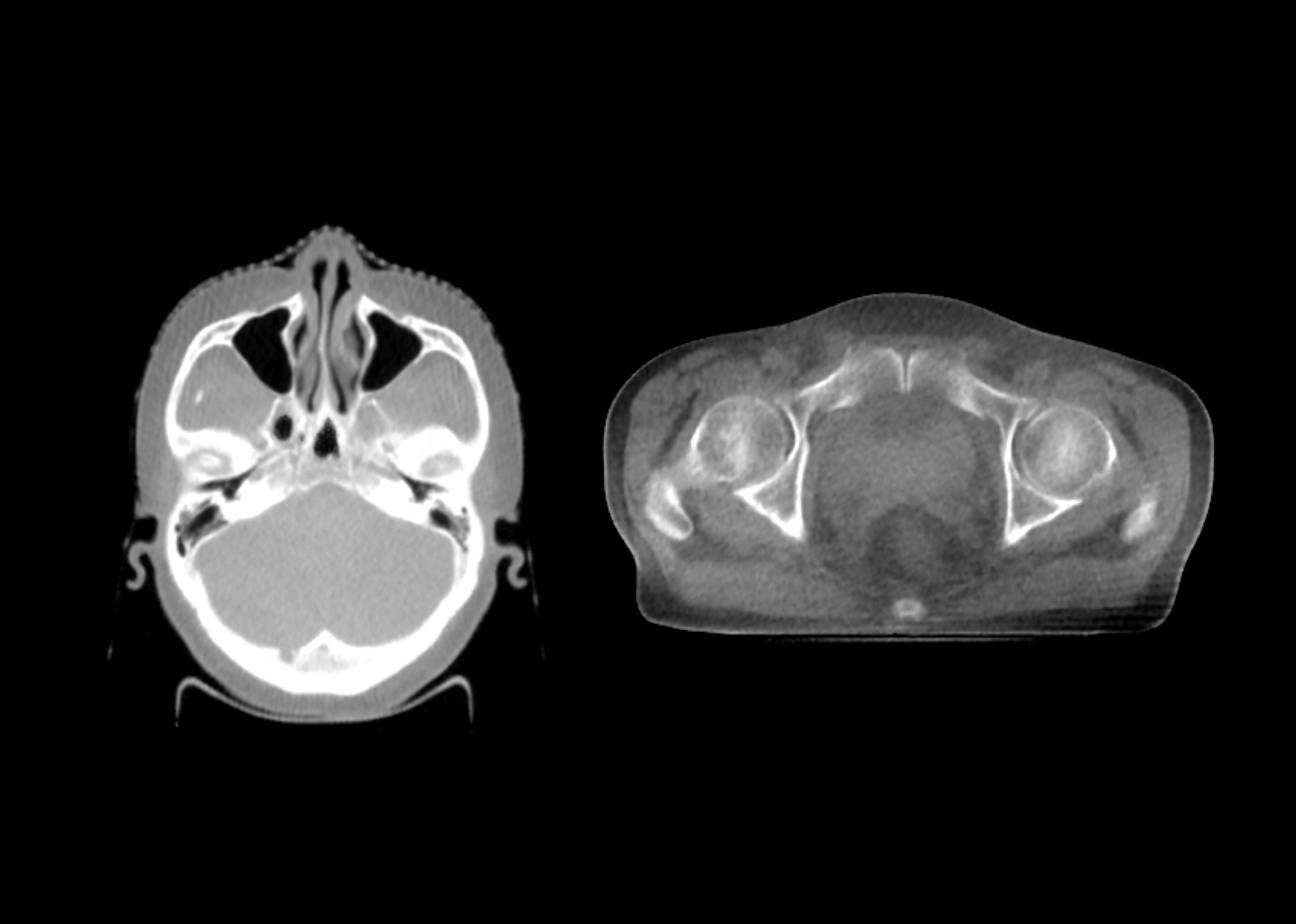
1.5MeV电子束打靶,使得千伏级成像光子占比更大,图像质量媲美常规kV级CBCT。
影像引导成像束流与治疗束流同一等中心,带来更高的图像引导精度。
一键CBCT成像,自动配准,自动移床,自动避撞,高度自动化,有效提升效率。